Smile Gallery – South Portland, ME
Real Patients
Real Smiles
Our doctors stand behind their work at the practice as you can see in our smile gallery. Our goal is and always has been to help patients feel confident about their smile, no matter how many dental issues they may have. If you're feeling hesitant about pursuing a specific treatment (particularly one that is cosmetic in nature), you'll have for more confidence in your future care after reviewing our smile gallery below.
Dental Crowns
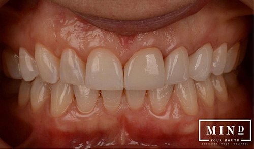
Treatment: Crowns
“This patient presented with several fractures in their front teeth. They were aware of the damage caused by force being placed on the front teeth. Crowns were recommended due to the lack in tooth structure and risk of further fractures.”
Treatment: Crowns
“This patient presented with a broken front tooth and a craze line along the bottom edge. In order to prevent further damage a crown was recommended.”
Treatment: Crowns
“This patient came to us after chipping an already existing crown. After discussing options, the patient decided to have the crown replaced.”
Treatment: Crowns
“This patient presented with large existing failed restorations, recurrent decay and a risk for fracture. After having fillings placed many times over the years, this patient decided she would like crowns placed instead. She is quite pleased with the result!"
Veneers
Treatment: Veneers
Treatment: Veneers
Dental Bonding
Treatment: Dental Fillings
“This patient came to us after she broke off a filling previously placed on her front tooth. She was new to our office and very thankful we could see her same day for treatment. After Dr. Paret discussed her different options, the patient chose to have a new filling placed.”
Treatment: Dental Fillings
"This patient presented with a chip in her front tooth. She opted to have a filling done to restore the tooth. She is very pleased with the result."
Treatment: Dental Fillings
"This patient presented with several chips in his front teeth. He opted to have fillings done to restore the teeth. He is thrilled with how his smile looks now!"
Treatment: Dental Fillings
Treatment: Dental Fillings
Treatment: Dental Fillings
"This patient presented with recurrent decay on his front upper tooth. Patient decided to have a filling placed and is very happy with the results."
Clear Aligners
Treatment: SureSmile Clear Aligners
“This patient was not happy with the alignment of her teeth and decided to try SureSmile clear aligners. This incredible transformation occurred over a treatment time of 10 months! She felt the process was easy and is thrilled with her results.”
Dentures
Treatment: Full Denture
“This patient came to us unhappy with the current state of her teeth. She wasn’t able to chew well, and she didn’t feel good about her smile. It was affecting her confidence, and also making it hard for her to eat. After discussing her options with Dr.Paret, the patient decided to have her upper teeth extracted and an immediate denture placed. A partial denture was made to support her lower teeth.”
Treatment: Partial Denture
“This patient came to us missing some of her lower front teeth. She was looking for a solution before a family wedding. After discussing her options with Dr. Paret, she decided to have a partial denture created to replace those missing teeth.”
Treatment: Fixed Partial Denture or Bridge
"This patient came to us with an existing bridge that was failing with exposed metal around the gum line, rough edges, and some areas of breaking down. After discussing options with the patient, the patient decided to have a new fixed partial denture created."
Treatment: Partial + Full Denture
"This patient came to us unhappy with her smile, and unable to chew comfortably. After discussing several treatment options, she decided to go with a partial lower denture and complete upper denture. She is very happy with the results!"